
Hysterectomy Berek And Novak S Gynecology 15th Ed

Culdocentesis Information Mount Sinai New York
Diagnosing The Cause Of And Measuring Cul De Sac Fluid Empowered Women S Health


Ultrasound Registry Review General Information

Normal Anatomy Of The Female Pelvis And Transvaginal Sonography Obgyn Key

Epos

A Extensive Die Lesion At The Posterior Cul De Sac With Infiltration Download Scientific Diagram

Gyn Anatomy Flashcards Quizlet

Culdocentesis Information Mount Sinai New York
Diagnosing The Cause Of And Measuring Cul De Sac Fluid Empowered Women S Health

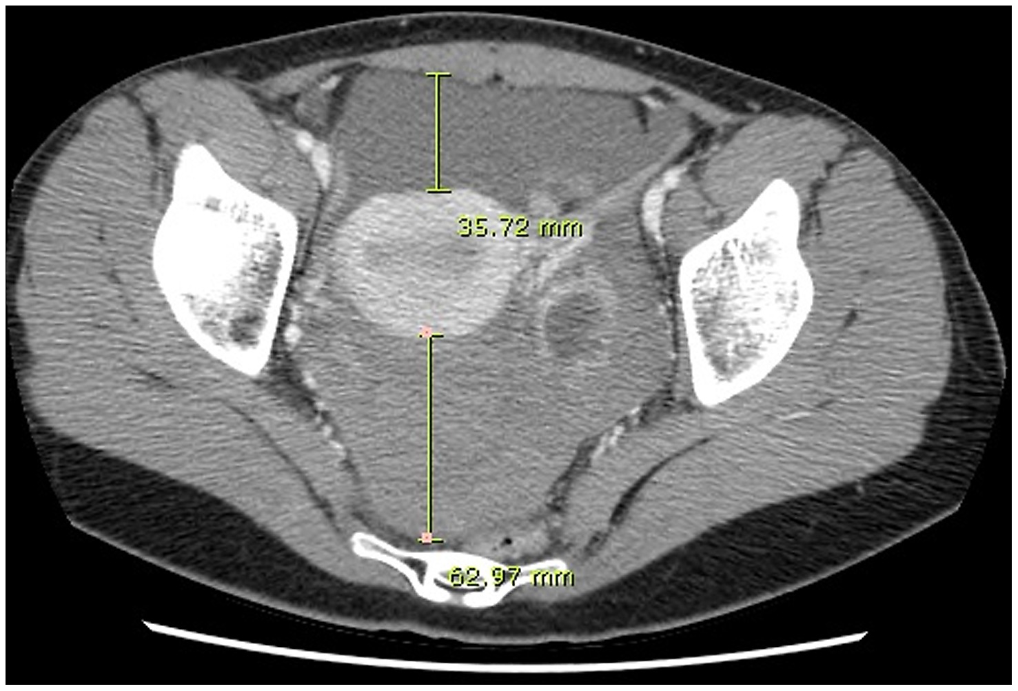
Ct Quantification Of Hemoperitoneum
Tags:
Archive